
原标题:见惯胃腺癌,这 8 种胃肿瘤 CT 体现你了解多少?
胃最常见原发肿瘤为腺癌,约占胃肿瘤的 90% 以上。除了胃癌,还有一些其他肿块,包含良恶性肿瘤及肿瘤样病变,如间质瘤、滑润肌瘤、类癌及异位胰腺等。
这些病肿块印象上有很大堆叠,实践临床工作中确诊胃肿块有必定的难度,本文简略总结几种胃肿块的 CT 体现。
血管球瘤
血管球瘤来源于调理皮肤温度的小动静脉符合结构一血管球体,是一种良性肿瘤样增生,一般发作于皮肤、真皮层以及甲床下及四肢结尾,原发于胃部的血管球瘤十分稀有,仅占胃肠道肿瘤的 1%。临床体现无特异性,较大的病灶可引起上消化道出血,一般手术切除即可。
CT 体现:病灶坐落粘膜下,一般较小、单发,多坐落胃窦部,平扫为等密度,出血囊变稀有,偶见钙化,增强后动脉期呈显着强化,继续至门脉期。偶尔血管球瘤能够体现填充式强化。
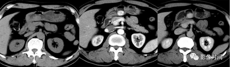
血管球瘤,胃窦部粘膜下肿块,平扫呈均匀的等密度,增强后呈显着强化,门脉期仍呈高密度。
胃血管球瘤,CT 增强示胃窦部粘膜下肿块,向腔外成长,动脉期呈边际结节样强化,门脉期向中心填充。
神经鞘瘤
胃是消化道神经鞘瘤最常好发的部位,大多起源于胃肌间神经丛,少部分起源于黏膜下神经丛。好发年纪为 40-50 岁,患者一般无显着临床症状。
CT 体现:粘膜下病灶,成长形式可为腔内型或腔外型或混合型,平扫密度较均匀,增强后呈中度强化。钙化、出血囊变及坏死稀有。
胃神经鞘瘤,胃粘膜下肿块,向腔表里成长,平扫密度均匀,增强后强化均匀,呈中度强化。
滑润肌瘤
滑润肌瘤是食管最常见的间叶源性肿瘤,而发作于胃的稀有,常坐落贲门。
CT 体现:滑润肌瘤一般体现为均匀的低密度灶,以腔内成长多见,增强后呈轻到中度强化。
胃滑润肌瘤,贲门粘膜下肿块,向腔外成长,平扫密度均匀,增强呈轻度强化,病灶外表的粘膜线完好。
脂肪瘤
脂肪瘤是由老练脂肪安排构成的坐落粘膜下的良性病灶,成长缓慢,可发作于胃肠道任何部分。约 90%-95% 脂肪瘤坐落粘膜下,5%-10% 坐落浆膜下。胃脂肪瘤稀有,常坐落胃窦部,向腔内成长。脂肪瘤质地较软,一般不引起梗阻,但当肿瘤较大时也可引起肠套叠。
CT 体现:鸿沟明晰的脂肪密度灶,因为瘤内炎性反应及溃疡的存在,肿瘤内可见软安排密度。
胃脂肪瘤,胃大弯侧粘膜下类圆形脂肪密度灶,密度均匀。
胃肠道间质瘤
间质瘤是胃肠道最常见间叶源性肿瘤,可发作于胃肠道任何部位。约 60%-70% 发作于胃,其他见于小肠(20%-30%)、结直肠(5%-15%)、食管等。间质瘤具有潜在恶性,其生物学行为与肿瘤的危险度密切相关,危险度越高者复发和搬运的危险越大。
CT 体现:病灶成长形式可为腔外、腔内或混合型。肿块较小时密度较均匀,与神经鞘瘤等辨别有必定的困难。肿块较大时内部常见内部出血坏死,增强后呈不均匀性强化,相对于胃壁强化,胃间质瘤可呈高密度、等密度或低密度。病灶体现的胃粘膜可见溃疡构成,并与胃腔相通,使病灶内含气液平。偶尔肿瘤内部可见钙化。
胃间质瘤,胃小弯侧粘膜下肿块,呈腔表里成长,病灶内内斑驳状钙化,增强后病灶强化不均匀,病灶外表的粘膜线完好。
淋巴瘤
原发胃肠道淋巴瘤为结外淋巴瘤常见部位,绝大大都为 NHL,首要类型为充满大 B 型和粘膜相关性淋巴瘤。胃淋巴瘤约占胃肠道淋巴瘤的 50%。
CT 体现:胃体、底及胃窦部的胃壁增厚,增厚类型可为充满增厚型、节段增厚型及限制增厚型,病灶密度一般较均匀,坏死稀有。增强后常强化均匀,呈轻度强化。病变段胃壁仍有必定的扩张度及柔软度,不同时期扫描胃腔形状有改动,较少引起梗阻征象。胃壁粘膜线可接连、中止。
胃充满大 B 淋巴瘤,胃壁充满性增厚,密度均匀,鸿沟明晰,呈轻度强化。
类癌
类癌是起源于胃黏膜的肠嗜铬样细胞分解较高的神经内分泌肿瘤,属低度恶性肿瘤。临床上患者可呈现腹痛、腹部不适、消化道出血等,小部分患者可体现为类癌综合症,如皮肤潮红、气管痉挛、腹泻等。
CT 体现:类癌常坐落胃底、胃窦部,多突向腔内成长,鸿沟明晰,平扫呈等密度,密度均匀,坏死规模小且稀有。刘恺等剖析 10 例胃类癌动态增强 CT 体现,发现类癌呈推迟性强化,静脉期到达峰值。
胃类癌,胃体部多发息肉样病灶,呈显着强化;胃镜示胃壁息肉样突起。
异位胰腺
异位胰腺又称副胰腺、迷走胰腺,是成长在正常胰腺解剖部位以外的孤立性胰腺安排,与正常胰腺之间无任何解剖及血管联络。异位胰腺好发于胃肠道,约 70%-86.5% 发作于胃、十二指肠以及近段空肠。好发年纪为 40-60 岁,男性多见,大部分患者无显着症状,一般为手术或活检偶尔发现。
CT 体现:坐落粘膜下软安排肿块,平扫密度较均匀,出血坏死及钙化稀有,可发作囊变。文献报导异位胰腺好发于胃窦部,特别间隔幽门管 6 cm 以内的部位。病灶呈卵圆形、分叶状或不规则形,长径多小于 4 cm,长轴具有与胃壁平行特色,对异位胰腺确诊具有必定的参考价值百科。
病灶成长方法大都向腔内成长。增强扫描病灶的强化程度因异位胰腺的组成成分不同而差异较大。病灶以胰腺腺泡安排为主者,呈显着强化;而以胰腺导管及增生的滑润肌为主者,则强化不显着。中心脐凹征对异位胰腺确诊具有特征性。
异位胰腺,胃窦部卵圆形病灶,鸿沟明晰,密度均匀,呈显着强化,强化程度高于正常胰腺本质,病理示病灶成分以腺泡安排为主。
本文首发:印象时刻
作者:天边陌路
责任编辑:研小茜
投稿及转载:yanxiaoqian@dxy.cn
图文:作者供给 | 题图:站酷海洛 Plus
参考文献
1.Tang, Dong, Xin-Ye, et al. Glomus tumor in the stomach:Computed tomography and endoscopic ultrasound findings[J]. World Journal of Gastroenterology, 2013,19(8):1327-1329.
2.Unusual gastric tumors and tumor-like lesions: Radiological with pathological correlation and literature review[J].2017,23(14):2493-2504.
3.Scola D , Bahoura L , Copelan A , et al. Getting the GIST: a pictorial review of the various patterns of presentation of gastrointestinal stromal tumors on imaging[J]. Abdominal Radiology, 2017, 42(5):1350-1364.
4. 薛鹏, 马秀华, 张伟, et al. 原发性胃淋巴瘤的 CT 与 MRI 确诊 [J]. 有用放射学杂志, 2013, 29(1):60-63.
5. 刘恺, 文戈, 邓燕佳, et al. 胃类癌动态增强 CT 体现与病理学对照研讨 [J]. 临床放射学杂志, 2012, 31(6):829-832.
6. 许亚春, 宋琦, 刘向东, et al. MDCT 对胃部异位胰腺的确诊价值百科 [J]. 中国医学计算机成像杂志, 2014, 20(1):42-45.
7. 吴光耀, 田志雄, 张在鹏, et al. 胃部异位胰腺的 CT 体现 [J]. 中华放射学杂志, 2007(9):938-940
责任编辑:

沃尔沃汽车“移动的体育博物馆”焕新发车 以车为展,助力体育运动全民
共筑社会“安全感”|沃尔沃汽车鼎力支持上海市“医苑新星”结业仪式
重庆丰益中医肛肠医院看病贵不贵?收费透明,看病不贵
校园直击!紫竹蜂胶口腔膜治愈风潮燃动福州!
万众瞩目:络病大会召开 微血管病变防治开辟新局面
毓婷x学院奖云课堂完美收官|“毓”青春同行,创意步履不“婷”
发现就是中晚期的结直肠癌,其实有办法可以避免!
“毓”见别YOUNG青春——毓婷携手学院奖2022再启新程